Front teeth replacement with dental implants in India
Front teeth replacement with Dental implants in India
- A front teeth loss due to accident in young age gives an emotional fear and self conscious attention for an individual. It is possible to bring back the appearance of a missing original teeth with in 2 days by undergoing dental implant treatment and placing a fixed teeth.
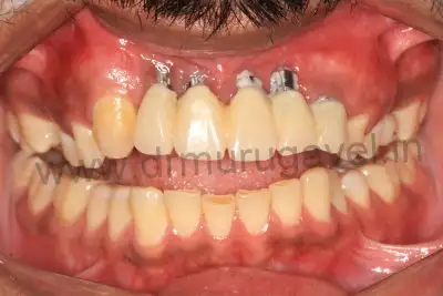
- A 28 Year old male came to our clinic one year ago with chief complaint of fractured and broken upper front teeth due to trauma .
- After removal of upper front broken teeth; the implants were placed . In comparison with his lost natural teeth ,an acrylic bridge was given as provisional with in 2 days.
Present condition :
- As a consequence of his old treatment , after one year he wanted to change his provisional bridge in upper front teeth.
- Not only his front teeth, but also he did implants for his missing right side upper molar tooth.
Before treatment image

Front teeth replacement with Implants

- It should be noted that his provisional bridge had hygienic gaps in the gum region , this denotes perfect gum healing and the implants condition was confirmed after taking radiographs ( OPG & CBCT ).
- The patient was happy with esthetics and teeth shape and size of his old provisional bridge , so the same replica of this was planned to do in permanent teeth also. The permanent bridge CAD CAM zirconia was delivered in 3 days .
X RAY – before treatment

Dental implants in x ray
Dental implant treatment plan :
1.Permanent zirconia bridge in upper front region and left upper first molar 26
2.Tooth preparation in right upper canine 13; root canal treated tooth and zirconia crown
3.One basal implant in relation to missing right upper molar 16 , and CAD CAM crown for 6 months
Treatment done :
Implant in right upper molar

Front view of healed implants

Implants in front teeth
Side view of implants

X RAY- after treatment

On day 1 :
- Prophylactic medications given.
- Computerized anesthesia local infiltration given in 16 region
- Key hole implant surgery done and one implant placed.
- For better osseointegration , the implant is synchronised with titanium bar and intra oral digital scanning done for CAD CAM crown.

scanner for digital crowns
On day 2 :
- Right upper molar tooth 16 region CAD CAM crown was fixed .
- To know the correct shape and position of the tooth ; Semi trial was done for zirconia bridge .
- To cover the gingival region , the esthetic gum colour was done with gum ceramic.
On day 3:
The zirconia bridge in upper front region and left upper first molar was fixed. Undoubdtedly , patient was extremely happy with esthetic appearance ; he also started chewing the food after replacement of both upper molars.

Permanent crown in left upper molar

CAD CAM crown in right upper molar

After treatment image – front view

After treatment smile

Front teeth replacement with Implants
For further details ,
visit us at :www.drmurugavel.in
Mail us at : bestdentalno1@gmail.com
Address:
Best Laser Dental Clinic & implant centre
No :33 Arcot Road,Next to INDUSIND Bank,
Valasaravakkam ,chennai -87
TamilNadu.
Phone no : +91 – 9171515077 , +91 -44-43856017
Related Links :
https://drmurugavel.in/blog/teeth-replacement-with-digital-dentistry-in-india/
https://drmurugavel.in/blog/best-dental-clinic-for-teeth-replacement-in-india/
https://drmurugavel.in/permanent-prosthesis-for-implants/
https://drmurugavel.in/blog/fixed-teeth-in-a-day-with-dental-implants/



