Blog
painless dental treatment in India
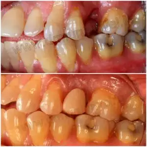
An 52 years old female patient came to our clinic with complain of missing teeth and wants to replace it..
Medical history- patient is diabetic and hypertensive and under medication.
Best Dental Clinic for Teeth Replacement In India
Best Dental Clinic for Teeth Replacement In India
- The proverb all we know "Face is the index of the mind " is the life mantra.
"Oral Health is t...
Immediate teeth replacement after extraction in India
A tooth which is grossly decayed , fractured or failed root canal treated usually will go for extraction.. Many people believed that they have to wait for long period to replace the extracted teeth...
upper full mouth reconstruction with dental implants in India
Importance of teeth
- Teeth helps in grinding food that we eat,make's them smaller,easier to swallow and helps in digestio...
Teeth replacement with Digital dentistry in india
Teeth replacement with Digital dentistry in india
-
Root Canal Treatment is the final procedure to save the teeth from extraction for a certain period & success rate ...
Front teeth replacement with dental implants in India
Front teeth replacement with Dental implants in India
- A front teeth loss due to accident in young age gives an emotional fear and ...
upper posterior teeth replacement with dental implants in India
An 45 years old male came to our dental clinic with complain of mobile teeth and wants to replace his missing teeth
medical history-nil
Initial presentation
pre-op occlusal view
Painless Dental Implant with Computerized Anesthesia in India
Many people think single missing teeth will not cause any oral issues..But replacing single missing tooth is very important or else rest of the natural teeth will move to the empty space.. This wi...
Dental implants for lower molar teeth in tamilnadu
Dental implants for lower molar teeth in tamilnadu
Patient aged 45 years came to our clinic with a complaint of unilateral chewing due to missing multiple teeth in the lower j...
Fixed teeth in a day with dental implants in india
The single best way to prevent dental abscess is to maintain a good dental health routine. If you notice signs of re-infection like pain or swelling around a treated tooth, v...



